
Sedef hastalığı dalga benzeri bir seyirle karakterize kronik bir cilt hastalığıdır. Çoğu zaman sedef hastalığı, cildin herhangi bir bölgesinde bulunabilen spesifik bir cilt lezyonu olarak kendini gösterir.
Başlangıçtaki sedef hastalığı her zaman hemen tanınamaz. Ancak karakteristik semptomlara zamanında dikkat ederseniz bu mümkündür. Zamanında bir dermatoloğa danışırsanız döküntülerin gelişimi yavaşlatılabilir ve durdurulabilir. Bu nedenle hangi işaretlerin patolojinin varlığını gösterdiğini bilmek önemlidir.
Sedef hastalığının nedenleri. Başlangıç aşaması
Bu konuda güvenilir gerçekler yok. Sedef hastalığı tam olarak anlaşılmış bir hastalık değildir. Ancak oluşumuna katkıda bulunabilecek bilinen faktörler vardır:
- genetik yatkınlık (en yaygın faktörler arasında);
- bağışıklık sisteminin fonksiyon bozukluğu (ayrıca sıklıkla sedef hastalığının başlangıcını da tetikler);
- endokrin problemleri;
- Yakın zamanda geçirilmiş streptokok enfeksiyonu (boğaz ağrısı)
- kronik hastalıkların varlığı (özellikle inflamatuar);
- alkol ve sigara bağımlılığı gibi kötü alışkanlıklar;
- sık stres.
Sedef hastalığı her cinsiyet ve yaştaki insanda bulunabilir. Bununla birlikte, daha sık olarak 25-30 yaş üstü insanlar buna duyarlıdır.
İlk aşamanın belirtileri
Sedef hastalığının başlangıç aşamasında semptomlar hafiftir. Ancak bunları fark edebilirsiniz.
Sedef hastalığının nasıl başladığını anlamak için aşağıdaki tipik semptomlara dikkat etmelisiniz:
- Ciltte artan kuruluk ve pullanma. Bir kişi dirseklerde, dizlerde, sırtın alt kısmında ve kafa derisinde cilt rahatsızlığı hisseder. Ancak bu alanlar duruma göre farklılık gösterebilir.
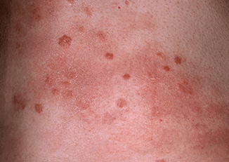
- Belirli döküntülerin varlığı. Sedef hastalığı için tipik olan, yavaş yavaş birbirleriyle birleşen, net sınırları olan küçük pembemsi kırmızı papüllerdir (deri seviyesinin üzerinde düz, hafif kabarık döküntü unsurları).
- Döküntü yüzeyinde pullar. Gümüş veya beyazımsı bir renge sahiptirler. Kızarıklıklardan kolayca çıkarılırlar, ancak bu çatlak oluşumuna veya hoş olmayan öznel duyumların ortaya çıkmasına neden olabilir.
Bazı sedef hastalığı türlerinde (“püstüler”) döküntü, lekeler şeklinde olmayabilir, ancak içinde cerahatli içerik bulunan küçük dışbükey oluşumlar şeklinde olabilir. Sedef hastalığının ilk formunun fotoğrafında, farklı sedef hastalığının kendilerini ve semptomlarını nasıl gösterdiğini görebilirsiniz.
Tırnak sedef hastalığında döküntü öncelikle plakayı etkiler. Bu durumda ilk belirtiler aşağıdaki gibidir:
- tırnaklarda küçük çöküntülerin oluşması (“yüksük” semptomu)
- tırnak plağının yapısındaki değişiklikler - tırnak kalınlaşır ve kırılgan hale gelir
- tırnak plağının renginde değişiklik - tırnak sarı bir renk alabilir, tırnak altında turuncu-kırmızı lekeler görünebilir
- tırnak altındaki derinin kalınlaşması;
- plakanın gevşekliği ve soyulması (her zaman değil);
- Tırnak plağının altında küçük koyu uzunlamasına çizgiler (tırnak plağının altındaki kanamadan kaynaklanan spesifik olmayan semptom)
- tırnak deliğinin kızarıklığı.
Sedef hastalığının ilk aşamasının semptomlarının fotoğrafları daha iyi gezinmenize yardımcı olacaktır.
İlk belirtiler oldukça belirsizdir ve açıkça kendini göstermez. Ayrıca diğer bazı dermatolojik hastalıkların belirtilerine benzemeleri de tanıda zorluklara yol açabilmektedir. Bu nedenle daha doğru teşhis için hemen hastaneden randevu almanız son derece önemlidir.
Sedef hastalığının tüm aşamaları
Hastalığın gelişiminde üç önemli aşama vardır:
- Başlangıç veya ilerleyen aşama. Ciltte çok sayıda küçük papül belirir. Hastalığın bu aşamasının ayırt edici bir özelliği, yakın zamanda meydana gelen cilt travması alanlarında döküntülerin ortaya çıkmasıdır; sedef hastalığının ilk aşamalarda nasıl göründüğü fotoğrafta görülebilir.
- Sabit. Döküntülerin boyutu büyür ve birbirleriyle birleşmeye başlar, hatları belirsiz büyük plaklar oluşturur. Döküntüde yeni bir unsur ortaya çıkmaz, ancak döküntü yüzeyinde çok sayıda pul oluşur.
- Son. Kızarıklık azalmaya başlar ve yavaş yavaş kendi kendine kaybolur. Geride zamanla kendiliğinden kaybolacak hafif bir pigmentasyon veya çevredeki sağlıklı cilde göre daha açık renkte bir alan bırakabilir.

Sık sık şu soru ortaya çıkıyor: "sedef hastalığı ilk ve son aşamalarda kaşınıyor mu?" Sedef hastalığı için kaşıntı karakteristik olmayan bir semptomdur; mevcut olmayabilir.
Her alevlenmede hastalık sırayla üç aşamadan geçer. Ancak tedaviye ilk aşamada başlanırsa döküntülerin ilerlemesi önlenebilir.
Çoğu insan için semptomlar döngüseldir. Genellikle bir sonraki salgın sırasında birkaç hafta devam ederler ve daha sonra yavaş yavaş zayıflayıp kaybolurlar. Yeni başlayan sedef hastalığının şekli, fotoğrafların ve gerçek semptomların nasıl görüneceğini belirler
Sedef hastalığının başlangıç evresinin tedavisi
İlk şüpheli belirtileri tespit ettiğinizde bir dermatoloğa başvurmanız gerekir.
Erken evre sedef hastalığı, ilaçlarla minimal tedavi gerektirir. Esas olarak harici.
Tipik olarak kullanılır:
- Hormonal olmayan merhemler ve kremler. Remisyon da dahil olmak üzere hastalığın herhangi bir aşamasında kullanılabildikleri için tedavinin temelini oluştururlar. Nazik davranırlar ve çoğu zaman hiçbir yan etkisi olmaz. Soyulma, kızarıklık, subjektif duyumları hafifletir ve inflamatuar süreçleri yavaşlatırlar.
- Hormonal merhemler ve kremler. Hastalığın ilk aşamasında, kural olarak şiddetli iltihaplanma veya özel bir sedef hastalığı türü (eksüdatif) için kullanılırlar. Bu ilaçlar etkilenen cilt bölgesindeki iltihapla hızla başa çıkabilir. Ancak hormonal merhem ve kremler uzun süreli kullanımda yan etkilere neden olabileceğinden sürekli kullanıma uygun değildir. Fotoğraflar, hem yetişkinlerde hem de çocuklarda sedef hastalığının ne ölçüde başladığını en iyi şekilde gösterecektir.
- Nemlendirici jeller ve kremler. Cildi rahatlatın ve yumuşatın. Ek bakım olarak kullanılabilir.
- Vitamin kompleksleri. Vücudun gücünü ve hastalıklara karşı direncini desteklemek için ek bir önlem. Her şeyden önce, A vitamini sedef hastalığında kullanılır çünkü cilt hücrelerinin hücresel bölünmesini ve pul oluşum sürecini etkiler. Hastalığın ilerleyen aşamasında, multivitamin kompleksleri kural olarak reçete edilmez.
- Fizyoterapötik prosedürler. Özellikle ilk aşamalarda etkilidir. Fototerapinin (UVB veya PUVA) yanı sıra UV ışınlarına ve lazere eksimer maruziyeti daha sık reçete edilir.
Çoğu durumda, ilaçlar doktor tarafından reçete edilir. Birkaç ilaç bir arada kullanılabilir. Hastalığın belirtileri hafifse, oral ilaçlar olmadan yapabilir ve yalnızca hormonal olmayan harici formülasyonları kullanabilirsiniz.
Sedef hastalığının ilk aşamasının önlenmesi
Önleyici tedbirler hastalığın belirtilerini geciktirmeye ve böylece remisyon süresini uzatmaya yardımcı olur. Bir saldırı sırasında doğrudan önleme kurallarına uyarsanız, belirtilerin azaltılmasına ve iyileşmenin hızlanmasına yardımcı olurlar.
Temel önleyici tedbirler şunlardır:
- Stresin ortadan kaldırılması. Veya en aza indirilmesi. Stres sinir sisteminin işleyişini büyük ölçüde bozar ve bu da vücudun genel durumunu ciddi şekilde etkiler. Duygusal ruh halinizle daha iyi başa çıkabilmek için bir psikoterapi kursuna kaydolabilirsiniz. Dersler bireysel veya grup olabilir.
- Diyet. Diyet sağlıklı, dengeli olmalı ve hipoalerjenik gıdalar içermelidir. Menünün temeli proteinler, çiğ sebzeler ve fermente süt ürünleridir. Tatlı ve unlu mamuller gibi abur cuburlardan uzak durmalısınız. Kızarmış ve tütsülenmiş yiyecekler, baharatlı ve çok tuzlu yiyecekler, konserve yiyecekler de kabul edilmez. İnternette sedef hastalığının hastalığın başlangıcında ve diyet yaptıktan sonraki fotoğraflarını bulabilirsiniz.
- Bol miktarda sıvı tüketin. Genellikle günde 1,5-2 litre arıtılmış su içilmesi tavsiye edilir. Ancak duygularınıza odaklanmak ve tavsiyeleri körü körüne takip etmemek önemlidir.
- Vitamin kompleksleri. Testlerden sonra vitaminlerin doktor tarafından reçete edilmesi tavsiye edilir.
- Mod. Yemek yeme, uyanma ve yatma bir programa uygun olmalıdır. Bu, vücudun uygun aktiviteyi sürdürmesini kolaylaştırır. Erken kalkıp yatmanız tavsiye edilir.
- Temiz hava. Her gün temiz havada yürüyüş yapmak önemlidir. Stresi azaltır ve genel olarak vücuda faydalıdır.
- Cilt bakımı. Düzenli olarak yumuşatıcı ve nemlendirici kremler kullanmaya değer. Özellikle su tedavilerinden sonra.
- Rahat kıyafetler ve ayakkabılar. Doğal yumuşak malzemelerden yapılmıştır. Ayakkabılar vücuda tam oturmalı ve giysiler bol olmalıdır.
- Bir doktorla düzenli istişareler. Ve muayeneler. Bu, vücudunuzun durumunu izlemenize ve sedef hastalığını önleme olasılığınızı artırmanıza yardımcı olacaktır.
Bu nedenle, cilt sedef hastalığının başlangıç ve sonraki aşamalarındaki semptomlarının fotoğrafları, bu hastalığın sıkıntısını açıkça göstermektedir. Bu nedenle önlemeye dikkat etmeye değer.
Vakaların büyük çoğunluğunda sedef hastalığının şiddetli stres sonucu kendini gösterdiğini unutmamak önemlidir. Bu nedenle öncelikle uyumlu bir ruh hali ve günlük rutine dikkat etmek önemlidir.


















